|
|
 |
 |
 |
 |
 |
| Funktionsdiagnostik, und sonst...? |
 |
|
Die zahnärztliche Funktionsdiagnostik ermittelt den funktionellen Zustand der Strukturen des
Kausystems. Bei funktionsgestörten Patienten dient sie der Erhebung einer spezifischen Diagnose.
|
 |
 |
Bei jedem (auch bei vermeintlich nicht funktionsgestörten) Patienten, die vor einer
zahnärztlichen oder kieferorthopädischen Behandlung stehen, ist sie medizinisch und forensisch erforderlich.
Circa 8% aller Menschen leiden an der sogenannten craniomandibulären Dysfunktion (CMD).
Mehr als die Hälfte aller Menschen haben Funktionsstörungen im Kausystem.
Man spricht von einer multifaktoriellen Genese, so dass kein klarer Ursprung für die Erkrankung
festgestellt werden kann.
Bisherige Therapieansätze, wie das systematische Einschleifen der Zähne, wurden von Prof. Türp
von der Universität Basel, als "ohne klinischen Nutzen" widerlegt [2004].
Das DIR System bietet dem behandelnden Zahnarzt die Möglichkeit, der diagnostischen Auswertung
von craniomandibulären Dysfunktionen ohne im Vorfeld strahlungsbelastende röntgenologische Diagnostik
betreiben zu müssen. Die signifikante Reproduzierbarkeit der Messungen lässt das System als objektives
Messinstrument in der Zahnheilkunde zur Anwendung kommen. Die digitalen Analysedaten ermöglichen dem
Behandler auf adäquate Therapieprinzipien, zur Behebung der Dysfunktion, zu schließen. Das DIR System
stellt den "Soll- Zustand" des stomatognaten Regelkreises her. Dieser "Sollzustand" wird vorerst in eine
Schiene überführt, so dass eine begrenzte, individuelle Tragedauer als präprothetische Therapiemaßnahme
zum Einsatz kommt.
Anhand der anschaulichen Registrierung, welche auf einer Windows-Oberfläche stattfindet,
sind dem Behandler die Aufklärung und der Handlungsbedarf klar vermittelbar.
Das zentrale Element der Messung mit dem DIR System stellt der Sensor
(Patent angemeldet / Nr. 10 2005 006 323.3) dar. Er erfasst nicht nur die horizontalen Koordinaten
der Unterkieferbewegung, sondern stellt zudem auch eine Kaukraftkoordinate zur Beurteilung des
"Bisses" in der dritten (vertikalen) Dimension fest.
Eine professionelle Diagnostik für den Erkrankungskreis der craniomandibulären Dysfunktion
gehört in die Hände von Zahnärzten. Das System ist erprobt und zertifiziert. Eine Autorisierung
der Laboratorien ist obsolet vor den Nutzen der Geräte, so dass Ihr Dentallabor bereits eine
profunde Kenntnis des DIR Systems besitzt.
|
 |
 |
|
 |
 |
 |
 |
 |
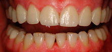
Fallbeispiel vorher: |
 |
 |
 |
 |
 |
Abrasion der Zähne mit dem Fazit zur Kieferfehlstellung |
 |
 |
 |
 |
|
 |
 |
 |
 |
 |
Fallbeispiel nachher: |
 |
 |
 |
 |
 |
Die Überführung in eine definitive Restauration
unter Berücksichtigung der Funktionalität der Bisssituation. |
 |
 |
 |
 |
 |
|
|